Plantão 24 horas

Atendimento Odontológico Personalizado e Humanizado

Cirurgião dentista de plantão 24 horas para todos os tratamentos odontológicos em Campo Grande - MS. Aqui seu sorriso recebe respeito e dedicação!

Atendimento particular, não atendemos convênios ou planos de saúde
CRO/MS 8774
24 horas
Campo Grande - MS
Dr. Kleber Sandim - Cirurgião Dentista CRO/MS 8774Dr. Kleber Sandim, Cirurgião Dentista CRO/MS 8774
Compromisso com Sua Saúde

Atendimento Odontológico 24h em Campo Grande

Clínica especializada com serviço de emergência dental disponível todos os dias. Cuidados imediatos e personalizados para aliviar sua dor e resolver problemas bucais urgentes.

Localização Estratégica

Clínica situada na R. Antônio Maria Coelho, 395, com fácil acesso de toda Campo Grande MS e estacionamento para comodidade dos pacientes.

Profissional Referência

Dr. Kleber Sandim (CRO/MS 8774), cirurgião dentista com atendimento humanizado e personalizado, referência em estética dental e tratamentos emergenciais.

Infraestrutura Moderna

Ambiente climatizado com equipamentos de ponta e processos rigorosos de esterilização, garantindo conforto, segurança e eficiência nos tratamentos.

Pronto-Socorro Odontológico

Disponibilidade 24 horas para atendimento de dores, inflamações, extrações e outros procedimentos de urgência, todos os dias da semana.

Especialidades

Procedimentos

A clínica odontológica em Campo Grande oferece estrutura completa com equipamentos de última geração, ambientes climatizados e totalmente esterilizados.

Sala de espera - Clínica Dr. Kleber SandimCadeira de procedimentos - Clínica Dr. Kleber SandimFachada da clínica - Dr. Kleber Sandim

Extração de Siso

Remoção segura dos terceiros molares com técnicas modernas, anestesia local e planejamento radiográfico. Previne dores, inflamações e problemas de alinhamento dental.

Toxina Botulínica

Aplicação especializada para suavizar linhas de expressão e rugas, proporcionando rejuvenescimento facial com resultados naturais que complementam seu sorriso.

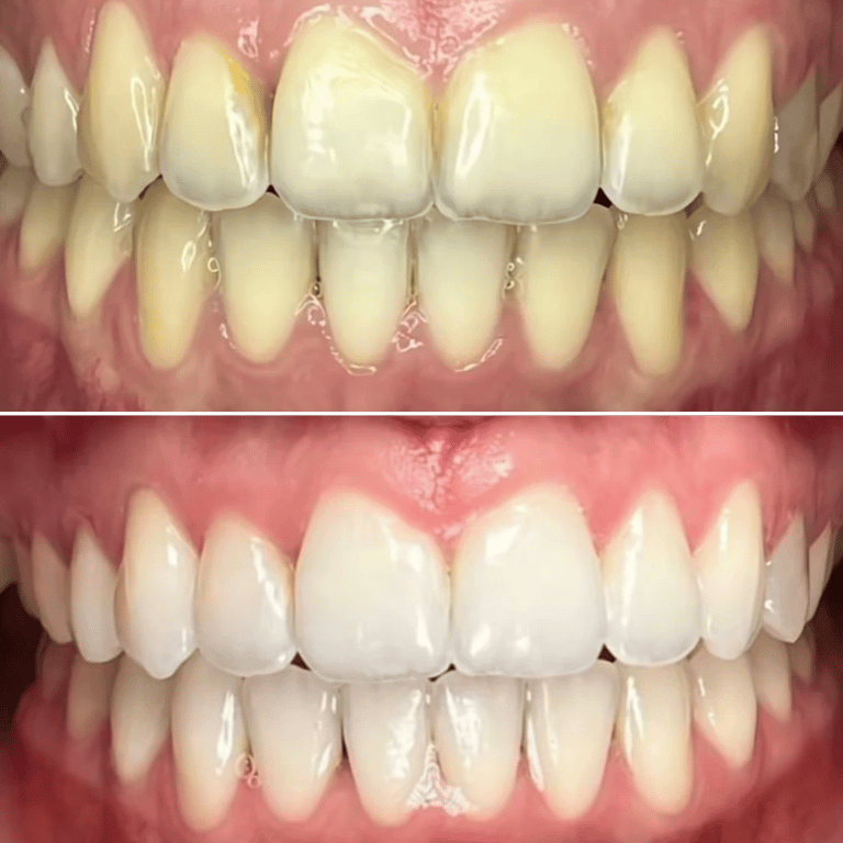
Clareamento Dental

Procedimento eficaz e seguro para remover manchas e clarear os dentes, devolvendo o brilho natural ao seu sorriso com técnicas profissionais de última geração.

Restaurações Estéticas

Reconstrução de dentes danificados com materiais que imitam perfeitamente a cor e textura natural, recuperando função e beleza do seu sorriso.

Profilaxia Profissional

Limpeza completa que remove placa bacteriana e tártaro, prevenindo cáries, doenças gengivais e mantendo a saúde bucal com resultados visíveis.

Estética Facial

Procedimentos que harmonizam as características do rosto, realçando sua beleza natural e complementando os resultados dos tratamentos odontológicos.

Tratamento de Emergência

Atendimento imediato para dores intensas, traumas, abscessos e outras urgências odontológicas, com foco no alívio da dor e solução do problema.

Extração Dentária

Remoção cuidadosa de dentes comprometidos por cáries extensas, fraturas ou infecções, sempre priorizando o conforto do paciente e a preservação das estruturas adjacentes.

Atendimento particular — não atendemos convênios ou planos de saúde

Emergência Odontológica?

Atendimento 24 horas, 7 dias por semana — incluindo finais de semana e feriados. Dor intensa, trauma dental, abscessos ou próteses quebradas? O Dr. Kleber está de plantão para você.

Galeria

Sorrisos Transformados

Cada sorriso transformado representa uma história de confiança e dedicação ao seu bem-estar.

Sorrisos transformados - Dr. Kleber Sandim
Sorrisos transformados - Dr. Kleber Sandim
Sorrisos transformados - Dr. Kleber Sandim
Sorrisos transformados - Dr. Kleber Sandim
Sorrisos transformados - Dr. Kleber Sandim
Depoimentos

A Experiência de Nossos Clientes

Conheça as experiências reais de nossos pacientes. Estas avaliações foram compartilhadas espontaneamente no Google por pessoas que experimentaram nossos tratamentos e cuidados personalizados.

Avaliação VerificadaGoogle

Ótimo atendimento, personalizado e profissional competente e atencioso. Eu que tenho medo de dentista me senti super bem recomendo.

DDavidson Sandim
Avaliação VerificadaGoogle

Excelente atendimento, muito cuidadoso, estou muito satisfeita com o resultado. Recomendo fortemente! Voltarei com certeza!

GGraziela Alves Ferreira
Avaliação VerificadaGoogle

Atendimento excelente, profissional atencioso. Clínica muito organizada. Recomendo.

EEloir Regina Bezerra
Avaliação VerificadaGoogle

O melhor atendimentoo!

BBruna Alves
Avaliação VerificadaGoogle

Atendimento maravilhoso, Dr Kleber um profissional excelente!!

JJoão Paulo Pereira
Avaliação VerificadaGoogle

Amei meus dentes ficaram perfeitos

FFatima Sandim
Avaliação VerificadaGoogle

Maravilhoso! Só faço meus procedimentos com ele! Só o Dr. Kleber mexe na minha boca!

PPedro Paulo
Avaliação VerificadaGoogle

Super recomendo excelente profissional.

JJaqueline Batista
Avaliação VerificadaGoogle

Excelente profissional, tranquilo, atencioso, muito seguro e faz um trabalho perfeito, recomendo.

TTeresinha Durães
Avaliação VerificadaGoogle

Profissional maravilhoso, extremamente cuidadoso e atencioso.

IIndyana Rodrigues
Avaliação VerificadaGoogle

Melhor não tem incrível

RRenato Pereira
Avaliação VerificadaGoogle

Maravilhoso atendimento, clínica e profissionais

KKelyta Gueiros
Sobre

Dr. Kleber Sandim

Cirurgião-dentista registrado no CRO/MS 8774, o Dr. Kleber Sandim é referência em odontologia de emergência e estética em Campo Grande - MS.

Com atendimento humanizado e personalizado, oferece cuidado diferenciado para cada paciente — com respeito, empatia e excelência técnica.

Seu consultório conta com infraestrutura moderna, equipamentos de última geração e um ambiente projetado para proporcionar conforto e segurança em cada procedimento.

24h

Plantão diário

5.0

Nota Google

8+

Especialidades

Dr. Kleber Sandim - Cirurgião Dentista
Localização

Localização e Contato

Estamos à disposição para esclarecer suas dúvidas e agendar sua consulta.

Atendimento Humanizado para Seu Sorriso a Qualquer Hora!

Em momentos de emergência ou para cuidados estéticos completos, conte com o Dr. Kleber Sandim. Infraestrutura moderna, tecnologia avançada e tratamento personalizado disponível 24h.

© 2026 Clínica Odontológica do Dr. Kleber Sandim. Todos os direitos reservados. Site desenvolvido por Thiago Menzinger
Dr. Kleber SandimCRO/MS 8774 - Cirurgião Dentista